vz odontotecnica laboratorio odontotecnico  vz odontotecnica


whatsapp
  • lavorazioni
  • area clienti
  • agenda appuntamenti-ritiro lavori
  • privacy

vzodonto@gmail.com

info@vzodontotecnica.it

Vz odontotecnica di Zanaga Valter

  • home page
  • fixed prosthesis
  • mobile prosthesis
  • contacts
b3103b2b-809e-4aa9-8cfc-b0cd8a2b3648

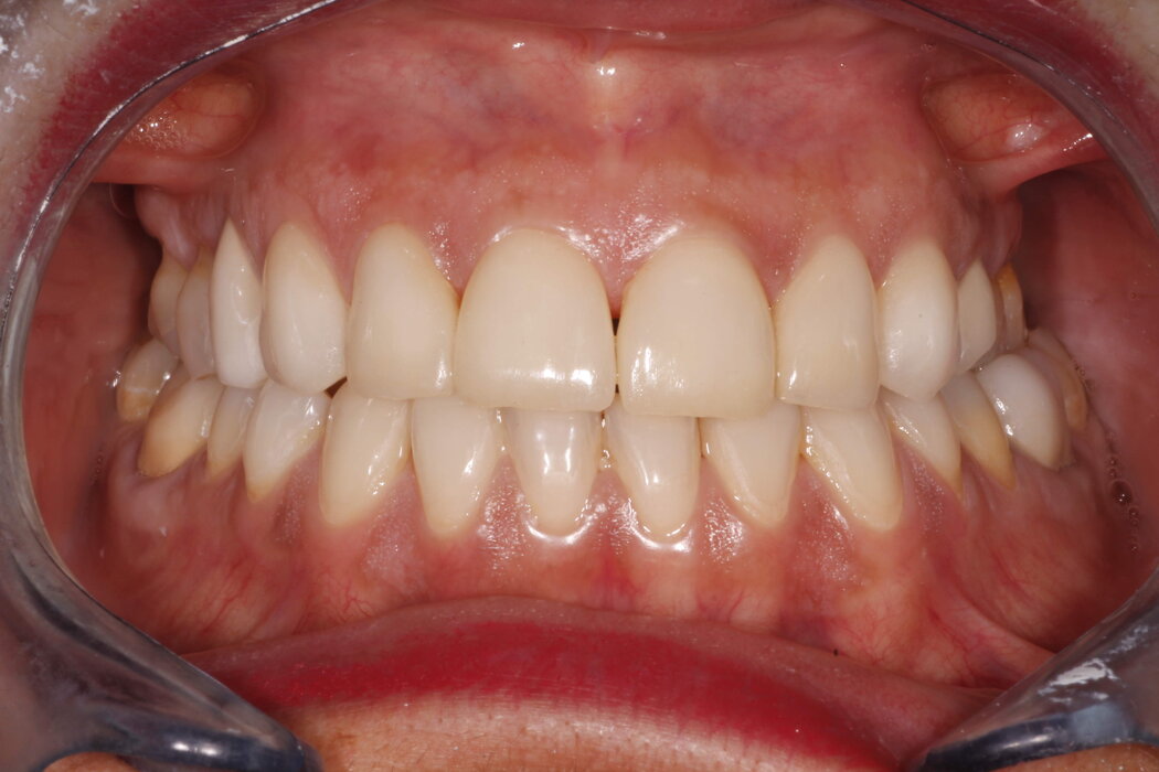
case report di copertina 

/protesifissa

vz odontotecnica

via San Marco 7 20821 Meda MB

  • tel.036273796

vz.odontotecnica@libero.it

laboratorio odontotecnico