vz odontotecnica
laboratorio odontotecnico
vz odontotecnica
home
lavorazioni
area clienti
privacy
whatsapp
X
vzodonto@gmail.com
info@vzodontotecnica.i
t
vz odontotecnica
laboratorio odontotecnico
vzodontotenica
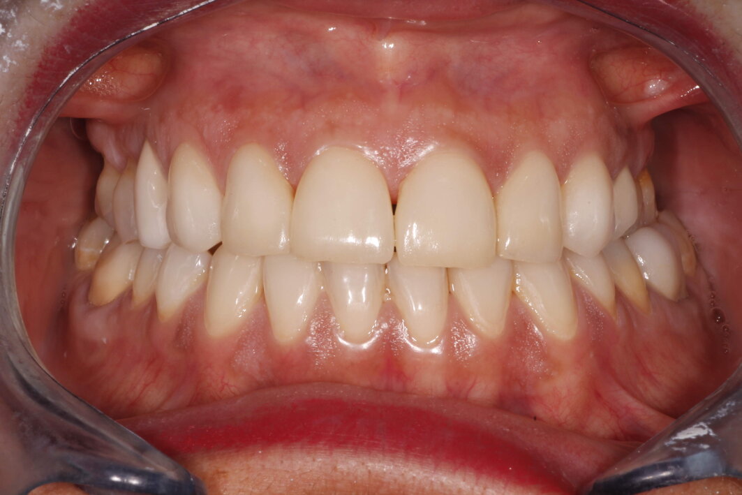
case report di copertina
/protesifissa
protesi fissa
protesi mobile
protesi su impianti