vz odontotecnica
laboratorio odontotecnico
vz odontotecnica
whatsapp
lavorazioni
area clienti
agenda appuntamenti-ritiro lavori
privacy
vzodonto@gmail.com
info@vzodontotecnica.i
t
vz odontotecnica
laboratorio odontotecnico
vzodontotenica
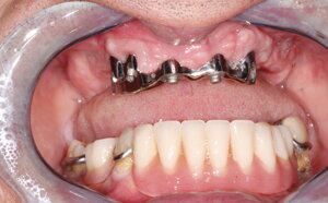
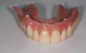
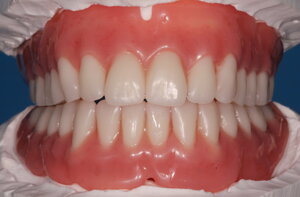
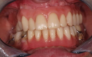
protesi mobile con barra fresata